displasia del gomito cane

Displasia del gomito nel cane

La displasia del gomito è una condizione di frequente riscontro nel cane, in particolare in alcuni gruppi di razze, come ad esempio i molossoidi, dove l’incidenza risulta essere particolarmente elevata, anche se può̀ colpire un po' tutte le razze.

Indice dell'articolo

Displasia del gomito nel cane: sindrome del comparto mediale, cos’è?

Questa è una malattia congenita del cane molto frequente, che porta a deficit funzionali e invalidità per tutta la vita.

Le modificazioni morfologiche che vengono incluse all’interno della definizione di “displasia di gomito” (ED) sono molteplici.

Secondo la classificazione proposta nel 1993 dall’ International Elbow Working Group (IEWG) devono essere incluse in questo gruppo la Frammentazione del Processo Coronoideo (FCP):

  • la Osteocondrite/Ostecondrite dissecante (OC/OCD),
  • la Mancata Unione del Processo Anconeo (UAP),
  • le anomalie cartilaginee e/o incongruenza articolare.

Alla base di queste alterazioni vi è quella che viene comunemente indicata con il termine di incongruenza articolare, riferita a qualunque delle tre articolazioni che compongono il gomito: la radio-ulnare la omero-radiale e la omero-ulnare

La FCP (Frammentazione del Processo Coronoideo) risulta essere la condizione di più frequente riscontro nella clinica del cane.

Sindrome del comparto mediale

Negli ultimi anni la diffusione di tecniche diagnostiche più raffinate quali la artroscopia e la radiologia avanzata come la tomografia computerizzata (TC), hanno consentito di rilevare come le alterazioni a carico del processo coronoideo mediale sono in realtà molto variabili e non costanti, si è quindi più correttamente definita la patologia come “Sindrome del Comparto mediale” o “Malattia della coronoide mediale”.

Cause

Alla base di questa condizione vi è il disallineamento delle superfici articolari radio-ulnari e, in particolare, l’ulna che essendo più lunga del radio viene a creare un vero e proprio conflitto omero- ulnare, di conseguenza si sviluppa attrito e pressione eccessiva tra processo coronoideo mediale e condilo omerale mediale (fig.1).

Studi morfologici effettuati con l’ausilio dell’esame TC ed artroscopico, evidenziano come vi sia una nesso diretto tra incongruenza articolare e sviluppo della FCP (1).

È stato inoltre evidenziato come un lieve grado di disallineamento radio ulnare sia fisiologico (ffmm) mentre in soggetti affetti da sindrome del comparto mediale tale “scalino” possa raggiungere i 14 mm (2).

Recentemente è stata chiamata in causa una forma di incongruenza rotazionale, legata a un alterato bilanciamento delle tensioni degli elementi muscolotendinei flessori del gomito, che può portare ad una trasmissione sovrafisiologica delle forze di trazione del bicipite brachiale sul processo coronoideo.

Questo, durante i movimenti di pronazione e supinazione, fa si che si venga a creare un’area di frizione sull’incisura radiale della porzione mediale del processo coronoideo (3).

Il risultato di questa condizione sarà una serie di alterazioni anatomo patologiche tra cui:

  • la frammentazione dell’osso sottocondrale della coronoide,
  • perdita del rivestimento cartilagineo del condilo omerale
  • lo sviluppo della cosiddetta lesione da sfregamento (OCD-like lesion).

L’omeostasi articolare viene così profondamente alterata, condannando i nostri pazienti a convivere con una condizione di sofferenza e limitazione funzionale grave.

Le alterazioni descritte, comportano una asimmetria nella distribuzione dei carichi sulle diverse componenti dell’articolazione, in particolare risulta un incremento sostanziale della pressione nella parte mediale e, nello specifico è la giunzione omero ulnare a risultare interessata. (Fig 1)

Diagnosi

Dal punto di vista diagnostico, l’esame radiografico nelle tre proiezioni rappresenta ancora oggi la metodica più diffusa.

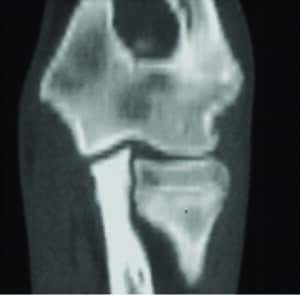
Dobbiamo però considerare che il gomito è una struttura complessa e che la radiografia tradizionale dandone una rappresentazione bidimensionale, fa si che via sia la sovrapposizione di molteplici strutture, rendendo di fatto quasi impossibile la evidenziazione di gran parte delle lesioni (fig.2).

L’avvento delle tecniche radiografiche più avanzate ha cambiato radicalmente le possibilità, si è passati da una sensibilità diagnostica del 23-28 % con la radiologia tradizionale ad un valore di sensibilità pari al 88% con l’esame TAC, fino al 100% con l’esame artroscopico (4)(5).

L’esame tomografico inoltre, grazie alla possibilità di effettuare ricostruzioni su diversi piani consente una valutazione dell’incongruenza articolare altrimenti impossibile con qualunque altro mezzo diagnostico (fig.3 A-B-C-D-E).

Fig.1 Il carico avviene in maniera prevalente sulla parte mediale dell’articolazione (freccia rossa).

Fig.2 A) e B) La radiologia tradizionale fornisce una rappresentazione bidimensionale, la sovrapposizione delle strutture articolari rende l’identificazione delle lesioni estremamente difficile.

Fig 3 Esame TAC, grazie alla elevata sensibilità consente di differenziare diversi aspetti con cui si può presentare la malattia:
Fig 3 A) frammento libero 
Fig 3 B) lesione sottocondrale ( non rilevabile con l’esame radiografico) –
Fig 3 C) alterazioni morfologiche, rarefazione ossea, anche questo tipo di lesione risulta di difficilissima identificazione con la radiologia tradizionale.
Fig 3 D) ed E) ricostruzioni multiplanari consentono una valutazione precisa della incongruenza articolare.
Fig.4 immagine postoperatoria di un bovaro del bernese di 5 mesi dopo intervento di ostectomia ulnare distale – DUO

Si sono fatti grandi passi avanti anche dal punto vista terapeutico: fino a pochissimo tempo fa, il trattamento della malattia del comparto mediale era volto esclusivamente all’effettuazione di interventi correttivi, da effettuare in età giovanile e volti a ripristinare la congruenza articolare.

In particolare, si può effettuare su soggetti di giovane età affetti da FCP, la Ostectomia Ulnare Distale (DUO).

Questo semplice intervento consente lo “scivolamento” dell’ulna sul radio, in modo tale da ripristinare la congruenza ed evitare lo svilupparsi del conflitto omero-ulnare (Fig.4).

Gli interventi terapeutici saranno quindi diversificati in relazione all’età del paziente:

  • Nel cane giovane in accrescimento, al di sotto dei 6 mesi possiamo eseguire degli interventi correttivi molto efficaci come DUO-Ostectomia Ulnare Distale
  • Successivamente, quindi nella fascia di età che va dai 6 mesi ai 12 mesi circa, possiamo ancora eseguire la PUO – Ostectomia Ulnare Prossimale
  • Dopo il raggiungimento della maturità scheletrica, possiamo ancora correggere e migliorare significativamente la condizione con tecniche come la Ostectomia Ulnare Prossimale Abducente – PAUL

Di più recente introduzione la protesi di gomito unicompartimentale – CUE

Bibliografia
  1. (Samoy Y, Van Ryssen B, Gielen I, et al: Review of the literature: elbow incongruity in the dog. Vet Comp Orthop Traumatol 19:1, 2006
  2. Kramer A, Holsworth IG, Wisner ER, et al: Computed tomographic evaluation of canine radioulnar incongruence in vivo. Vet Surg 35:24, 2006
  3. Fitzpatrick N, Yeadon R: Working algorithm for treatment decision making for developmental disease of the medial compartment of the elbow in dogs. Vet Surg 38:285, 2009
  4. Carpenter L, Schwarz PD, Lowry JE, et al: Comparison of radiologic imaging techniques for diagnosis of FCP of the cubital joint in dogs. J Am Vet Med Assoc 203:78, 1993
  5. Moores AP, Benigni L, Lamb CR: Computed tomography versus arthroscopy for detection of canine elbow dysplasia lesions. Vet Surg 37:390, 2008

Condividi l'articolo

ARTICOLI CORRELATI